Restaurations adhésives
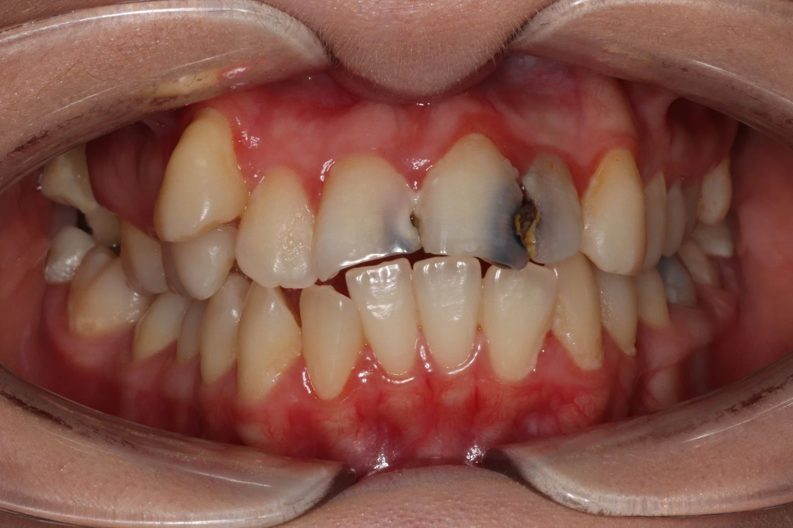
Inlay/Onlay
Pendant de nombreuses années, les soins de première intention ciblant une dent délabrée suivaient la logique de la dévitalisation, puis de la couronne systématique.
Aujourd’hui, grâce aux techniques adhésives modernes dont nous disposons, nous pouvons réhabiliter des dents très délabrées, sans avoir à les dévitaliser ni à trop les tailler.
Dans cette perspective de conservation tissulaire, les inlays-onlays permettent de remplacer une partie ou la totalité d’une dent altérée, tout en conservant la partie saine de la dent.
Nous apportons une solution aux problématiques suivantes :
Carie importante
Plombage ou ancien amalgame cassé
Restauration défectueuse / infiltrée
Reconstitution inesthétique
Demande esthétique
Composites esthétiques

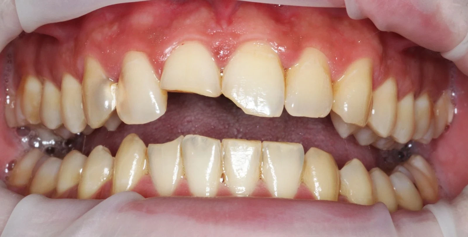
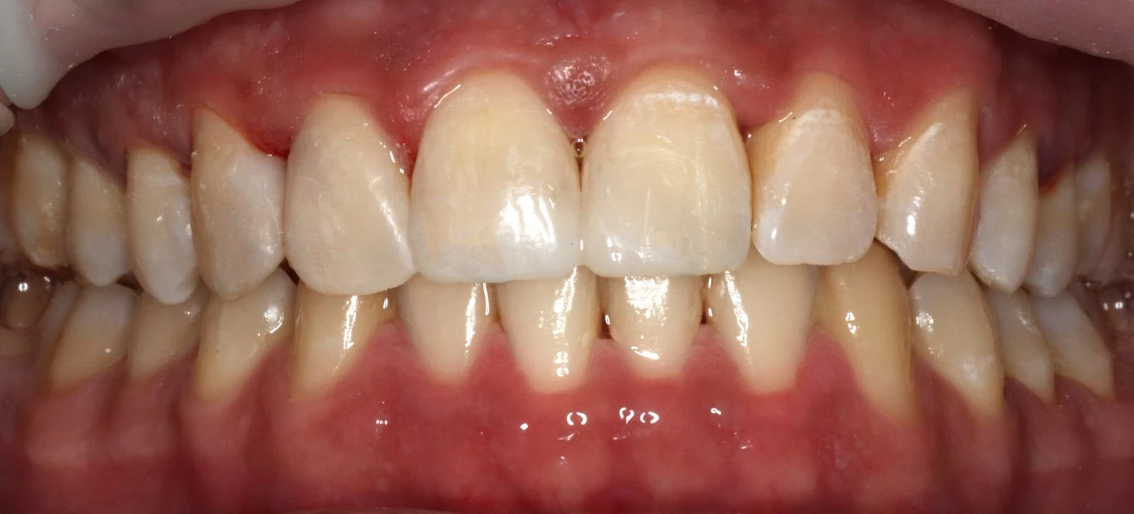
Avant

Pendant

Après
Montés par stratification, c’est-à-dire couche par couche, à l’image de ce que le développement dentaire produit naturellement, les composites esthétiques destinés aux dents antérieures s’imposent parfois comme la solution thérapeutique appropriée.
Lorsqu’ils sont parfaitement réalisés et qu’ils suivent un protocole strict, les composites esthétiques permettent de reconstruire la dent SANS enlever de matière dentaire, afin de lui redonner son état originel ou d’améliorer son rendu esthétique. Nous nous plaçons donc dans une logique de conservation maximale des tissus dentaires.
Cette technique renferme de nombreuses indications et, associée à des traitements modernes d'orthodontie ou des corrections parodontales, elle permet d'obtenir des résultats époustouflants :
Correction de la forme et des contours
Correction de la teinte
Correction des pertes d’émail au niveau des collets
Correction des usures fonctionnelles dues à des malpositions dentaires (un traitement d’orthodontie préalable est généralement recommandé, afin d’éviter la casse du matériau et la récidive)
Correction des trous noirs inter-dentaires, généralement causés par une récession gingivale (prise en charge parodontale recommandée au préalable pour obtenir la stabilité des gencives)
Prothèses fixes
Les couronnes

Il s’agit d’une prothèse dentaire visant à protéger une dent, vivante ou non (dévitalisée). La couronne reconstitue artificiellement la partie émergente de la dent délabrée. Elle peut être simple, ou associée à un faux-moignon, ancré dans la racine de la dent par un tenon (qui va servir d'ancrage à la couronne). Cette méthode présente comme principaux avantages la protection de la dent, et l’invisibilité de la couronne, quand elle est bien réalisée.
Le bridge scellé

Le bridge permet de remplacer une dent absente (voire plusieurs), en prenant appui sur les dents adjacentes (une de chaque côté). Le principe est le même que pour la couronne, et cette méthode présente l’avantage évident de reposer sur un système fixe (qu'on ne doit pas enlever chaque jour lors du nettoyage). Néanmoins, il faut « couronner » les dents qui serviront de pilier.
Le bridge collé

Le bridge collé suit le même principe que le bridge scellé. La différence est qu’il n’implique pas que l’on couronne les dents adjacentes. Il offre une bonne intégration esthétique, tout en permettant d’assurer la conservation des tissus dentaires adjacents. Des études internationales indiquent que son taux de survie, sur une période de 10 à 15 ans, est supérieur à 95 %.
Le bridge collé se voit recommandé, au détriment de l’implant, dans les cas suivants :
Patient de moins de 25 ans dont la croissance osseuse n’est pas terminée et pour qui la pose d’un implant pourrait devenir inesthétique
Déficit osseux gênant la pose d’un implant, avec un patient ne souhaitant pas réaliser de greffe osseuse
Les facettes
Fines particules de céramique (allant de 0,2 à 0,7 mm) collées sur la face externe des dents, les facettes dentaires sont utilisées pour corriger les imperfections du sourire, notamment la forme, la teinte, l’état de la surface des dents, ou encore combler les espaces entre les dents.
Elles peuvent servir à éclaircir le sourire, pour le rendre plus naturel et lumineux, ou venir compléter un traitement orthodontique (ou lui offrir une alternative).