Réhabilitation globale
Qu'est-ce que la réhabilitation globale ?
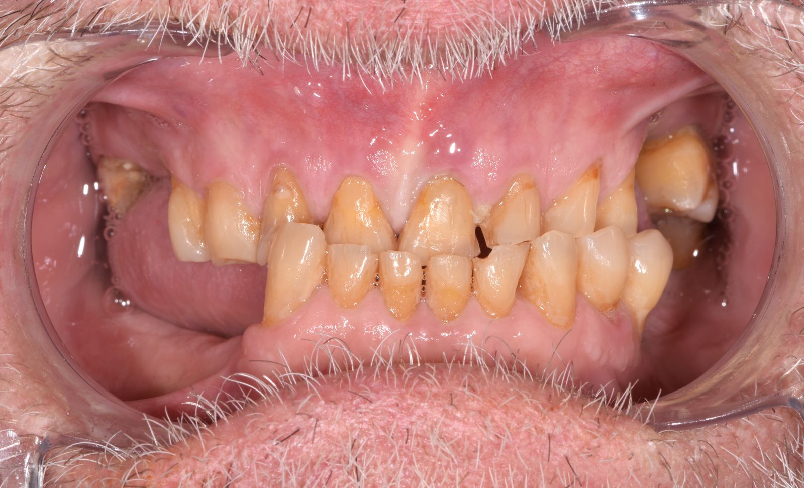
Associer les diverses spécialités qu’offre la chirurgie dentaire (parodontologie, implantologie, prothèses, occlusodontie, orthodontie, soins conservateurs, etc.) pour restaurer le sourire et lui redonner son éclat le plus total : c’est ce qu’on appelle la réhabilitation globale.
Et c’est justement l’une des spécificités du Cabinet dentaire de Seilh.
Les étapes
La première consultation est essentielle. C’est elle qui nous permettra de comprendre votre historique, d’identifier les causes à l’origine de la détérioration de votre santé bucco-dentaire, et bien entendu d’écouter votre demande pour mieux cibler vos attentes. Nous procéderons donc à un relevé d’informations, par le biais d’un examen clinique, d’un examen radiologique, de photos et d’une empreinte numérique, afin d’établir un diagnostic et d’identifier l’ensemble des soins, traitements, réparation à réaliser.
Une fois ces éléments recueillis, nous définirons les grandes lignes du plan de traitement, entre les deux premiers rendez-vous, en identifiant les différentes possibilités de réhabilitation, accompagnées d’un ou plusieurs devis (dans la mesure où plusieurs options de traitement sont possibles).
À l’issue de cette étape, nous vous proposerons une deuxième consultation, durant laquelle nous vous présenterons nos différents plans de traitement, ce qu’ils renferment, ainsi que les devis correspondants.
Si vous acceptez l’une de nos propositions, et si votre demande intègre également une restauration esthétique, nous procèderons à la simulation virtuelle de votre futur sourire, en nous appuyant notamment sur des outils numériques innovants tels que le DSD (Digital Smile Design). Dès lors, nous fixerons une troisième consultation qui validera la date de cette simulation virtuelle.
Ensuite, nous pourrons convenir des différents rendez-vous nécessaires à la réalisation des soins.
Avant



Après


